Гематома в стоматологии

Активность
0
attachment.php

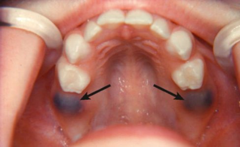
Гематома — это скопление крови в мягких тканях. Внешне гематома похожа на простой кровоподтек, цвет повреждения которого может варьироваться от красноватого до синюшного и желтого. Большие гематомы могут вызывать воспалительный процесс, сопровождающийся болезненными ощущениями, опуханием, общим недомоганием и, в некоторых случаях, повышенной температурой тела. В зависимости от типа образования и причины его появления лечение может включать в себя медикаментозную терапию, наложение компресса для сужения просвета сосудов, физиотерапевтические процедуры, хирургическое вмешательство.
 

Вложения

  • gematoma-posle-udaleniya-zuba-lechenie2.jpg
    gematoma-posle-udaleniya-zuba-lechenie2.jpg
    28 КБ · Просмотры: 79
Назад
Сверху