- Обсуждения
- 2
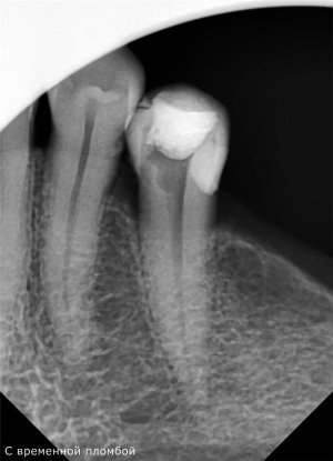
Здравствуйте! 21 апреля мне запломбировали каналы.Сутки зуб не болел,а вчера началась боль острая при надавливании.
Прошу специалистов внимательно разглядеть снимки.Мне кажется каналы,в корне не достаточно плотно запломбированы материалом и часть выходит за пределы корня.
Я делала через фотошоп контраст и увидела не заполненные места.
Что мне делать?

Прошу специалистов внимательно разглядеть снимки.Мне кажется каналы,в корне не достаточно плотно запломбированы материалом и часть выходит за пределы корня.
Я делала через фотошоп контраст и увидела не заполненные места.
Что мне делать?
