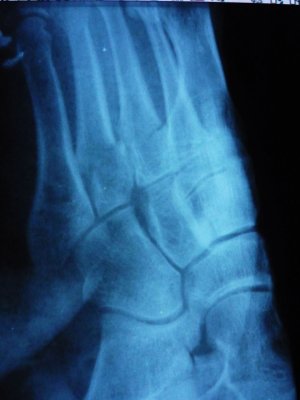
Здравствуйте, 16.10.09 в пятницу вечером на тренировке разворачиваясь на одной ноге сломал 3 и 4 плюсневые кости ,в травмопункте сделали снимки, после чего дежурный врач накладывая гипс попытался вправить смещеные плюсневые кости, но у него ничего не вышло, что видно на повторном снимке .Посоветовал с понедельника обратится в больницу по месту жительства и возможно готовится к операции.... Посмотрите пожалуйста можно ли вправить на место кости без операционного вмешательства и каковы шансы на их успешное ПРАВИЛЬНОЕ сростание.
P.S. уже прошло 2-е суток, отечности нет, воспалений нет, нога практически не болит-если на нее не наступать
.
P.S. уже прошло 2-е суток, отечности нет, воспалений нет, нога практически не болит-если на нее не наступать