Уважаемые специалисты! Обращаюсь к Вам за консультацией так как до сих пор нахожусь в гипсовой лонгете и в скоре предстоит коммандировка на машине с МКПП и беспокоит несращение перелома.
Ситуация следующая: травму получил на тренировке 23.12.11 , в тот же день в травмпункте поставили диагноз - перелом 4 пястной кости с незначительным смещением + рефрактура 5 пястной кости (она у меня была сломана 2 года назад и неправильно срослась еще до получения данной травмы). Была наложена лонгета без вправления.
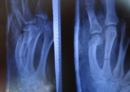
Обратился к травматологу по месту жительства и на 6 день после получения травмы сделали контр.снимок:


Доктор взглянув на НЕЗНАЧИТЕЛЬНОЕ СМЕЩЕНИЕ сказал что нужна репозиция, сделал закрытую репозицию отломков и наложил лонгету на 4 и 5 пальцы в вытянутом состоянии, вот снимки сразу после наложения лонгеты:

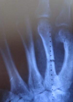
Сказал ходить 5 недель + кальцемин 2 р. в день и контрольный снимок через 7 дней, вот он:


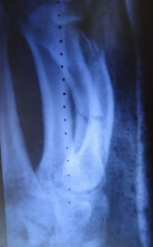
После этого я отходил 5 недель со дня репозиции, сняли лонгету, и сделали снимок:



Доктор сказал что сращения нету вообще, опять наложилли лонгету и сказал ходить ка минимум еще две недели только согнули пальцы немного под углом и уже на 3,4 и 5 палец плюс назначил магнитотерапию (вроде так, точно не помню) , вот фото лонгеты:

Подскажите пожалуйста, сколько еще нужно будет ходить в лонгете??? Когда доктор ее снял для контр. снимка пальцы чувствовал хорошо, немножко даже разгибал и сгибал не ощущая никакой боли, разводил потихоньку в стороны... Хотелось бы услышать мнение квалифицированных специалистов, как мне быть и как поступать, какие прогнозы по сращению и почему она не срастается???
Всем заранее огромное спасибо за проявленный интерес и помощь!!!
Р.С. Извините за качество фото.
Ситуация следующая: травму получил на тренировке 23.12.11 , в тот же день в травмпункте поставили диагноз - перелом 4 пястной кости с незначительным смещением + рефрактура 5 пястной кости (она у меня была сломана 2 года назад и неправильно срослась еще до получения данной травмы). Была наложена лонгета без вправления.
Обратился к травматологу по месту жительства и на 6 день после получения травмы сделали контр.снимок:


Доктор взглянув на НЕЗНАЧИТЕЛЬНОЕ СМЕЩЕНИЕ сказал что нужна репозиция, сделал закрытую репозицию отломков и наложил лонгету на 4 и 5 пальцы в вытянутом состоянии, вот снимки сразу после наложения лонгеты:

Сказал ходить 5 недель + кальцемин 2 р. в день и контрольный снимок через 7 дней, вот он:


После этого я отходил 5 недель со дня репозиции, сняли лонгету, и сделали снимок:



Доктор сказал что сращения нету вообще, опять наложилли лонгету и сказал ходить ка минимум еще две недели только согнули пальцы немного под углом и уже на 3,4 и 5 палец плюс назначил магнитотерапию (вроде так, точно не помню) , вот фото лонгеты:

Подскажите пожалуйста, сколько еще нужно будет ходить в лонгете??? Когда доктор ее снял для контр. снимка пальцы чувствовал хорошо, немножко даже разгибал и сгибал не ощущая никакой боли, разводил потихоньку в стороны... Хотелось бы услышать мнение квалифицированных специалистов, как мне быть и как поступать, какие прогнозы по сращению и почему она не срастается???
Всем заранее огромное спасибо за проявленный интерес и помощь!!!
Р.С. Извините за качество фото.