- Активность
- 2
Добрый день!
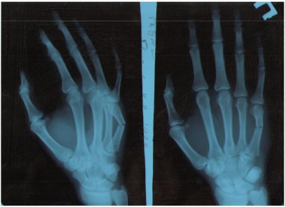
1 ноября сломал 5 пястную кость правой кисти.
В травмпункт обратился на следующий день. Первоначально мне наложили гипс с фиксацией мизинца и безымянного пальца и сказали прийти через 10 дней. Через 10 дней обнаружилось что кость сместилась и наложили повторно гипс. Через несколько дней сделали повторный снимок - на нем так же было видно смещение. Было решено отправить в стационар на операцию. В итоге операция была сделана 21 ноября. В кость была вставлена фиксирующая спица. В справке было написано спицу вынимать через 5-6 недель после контрольного снимка.

Через 3 недели после операции я сходил в травмпункт и сделал снимок кисти. На нем было видно что на месте перелома образовался небольшое пустое пространство (порядка 1-2 мм). Данным снимком, к сожалению, не располагаю. Травматолог сказал : место перелома заполнил хрящ и немного "раздвинул кости" - так и должно быть. Проблема в том, что после операции мне наложили лангет, который не фиксирует мизинец и безымянный палец. Пальцами, при желании, можно свободно двигать. Иногда в кисте, например когда зеваешь, происходят самопроизвольные сжатия пальцами в кулак. Может ли то, что гипс не фиксирует полностью кисть и травмированным пальцем можно шевелить повлиять на сростание кости. Через неделю мне делать контрольный снимок и хотелось бы провести новый год без гипса. Сегодня так же получил глухой удар по спице в направлении к локтю и сейчас кисть немного болит.
Гипсовая повязка:

1 ноября сломал 5 пястную кость правой кисти.

В травмпункт обратился на следующий день. Первоначально мне наложили гипс с фиксацией мизинца и безымянного пальца и сказали прийти через 10 дней. Через 10 дней обнаружилось что кость сместилась и наложили повторно гипс. Через несколько дней сделали повторный снимок - на нем так же было видно смещение. Было решено отправить в стационар на операцию. В итоге операция была сделана 21 ноября. В кость была вставлена фиксирующая спица. В справке было написано спицу вынимать через 5-6 недель после контрольного снимка.

Через 3 недели после операции я сходил в травмпункт и сделал снимок кисти. На нем было видно что на месте перелома образовался небольшое пустое пространство (порядка 1-2 мм). Данным снимком, к сожалению, не располагаю. Травматолог сказал : место перелома заполнил хрящ и немного "раздвинул кости" - так и должно быть. Проблема в том, что после операции мне наложили лангет, который не фиксирует мизинец и безымянный палец. Пальцами, при желании, можно свободно двигать. Иногда в кисте, например когда зеваешь, происходят самопроизвольные сжатия пальцами в кулак. Может ли то, что гипс не фиксирует полностью кисть и травмированным пальцем можно шевелить повлиять на сростание кости. Через неделю мне делать контрольный снимок и хотелось бы провести новый год без гипса. Сегодня так же получил глухой удар по спице в направлении к локтю и сейчас кисть немного болит.
Гипсовая повязка:


[COLOR=#fafafa !important]
[/COLOR]
[/COLOR]
