- Активность
- 2
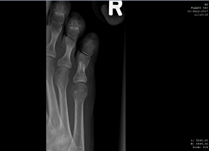
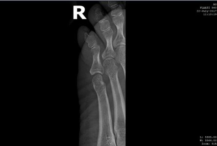
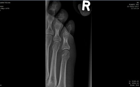
Здравствуйте! Прошу помощи. Прошло 18 дней со дня перелома мизинца (4 июля), к сожалению,находясь заграницей так и не удалось попасть к нормальному врачу, ходила с примотанным пластырем к соседнему пальцу, синяк почти прошел, сегодня сделали снимки - по -моему разницы никакой, угол отломка не изменился, при опоре на мизинец чувствуется давление и распирание внутри, будто эта кость торчит там внутри что-ли, как мешает что-то, при опоре отъезжает и смотрит немного в сторону, расстояние с соседним пальцем больше, чем на здоровой ноге. Думаю насчет возврата на родину и лечения в Москве. Вопрос - можно и нужно ли его еще как-то вправить, какой предельный срок? Не станет ли хуже от этих правок?
Забыть и ходить как есть? Какие последствия если не так срастется? Дискомфорт при ходьбе будет? Для меня это очень важно, заранее благодарю за ответ. Первый снимок - сразу после перелома 4 июля, остальные - 22 июля.




Забыть и ходить как есть? Какие последствия если не так срастется? Дискомфорт при ходьбе будет? Для меня это очень важно, заранее благодарю за ответ. Первый снимок - сразу после перелома 4 июля, остальные - 22 июля.




Последнее редактирование: