- Активность
- 4
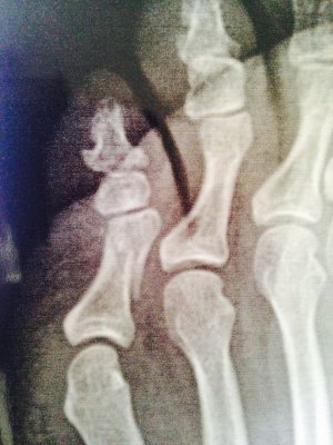
Здравствуйте! 28 декабря ударилась об угол кровати. Рентген показал косой перелом дистального отдела проксимальной фаланги 5 пальца стопы. Врач сказал, что смещение минимальное. Предложил гипсовую лангетку, но я отказалась, тогда дал жёсткую штучку и сказал обрезать по форме стопы, привязать и ходить на пятке. Прошло больше 3 недель, сделала контрольный снимок (прилагаю), врач утверждает, что всё хорошо, процесс срастания идёт, сказал надо ещё 10 дней ходить с фиксацией.
1. Действительно ли по снимкам нет смещения?
2.я, сравнивая первые снимки и после 3 недель не вижу никакого прогресса в сращении..Он есть?
3. Прошло столько времени, а пальчик выглядит до сих пор опухшим и красноватым-это нормально?


1. Действительно ли по снимкам нет смещения?
2.я, сравнивая первые снимки и после 3 недель не вижу никакого прогресса в сращении..Он есть?
3. Прошло столько времени, а пальчик выглядит до сих пор опухшим и красноватым-это нормально?


