Перелом нижней трети диафиза правой бедр.кости

nedug65714

🟢
Активность
6
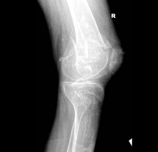
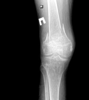
Случился "вколоченный осколочный, косой внесуставной перелом нижней трети диафиза правой бедр. кости с незначительным заходом осколков без признаков консолидации" а так 1.jpg2.jpgже "осколочный внутрисуставной перелом основы правого надколенника без смещения, без признаков консолидации"(снимки
http://fastpic.ru/view/59/2013/1022/4956457eb58ee0582464dbbaf7b2f381.jpg.html
http://fastpic.ru/view/59/2013/1022/81096fc26fcb57d606ecc6ce5a2f254d.jpg.html). Врачи в связи с тем, что у меня нижняя параплегия ограничились наложением лангеты на коленный сустав часть голени и часть бедра. Интересует следующее: как повлияет укорочение ноги в связи с этим переломом на процесс реабилитации и вероятного прямохождения (надеюсь что буду ходить), насколько она станет короче (можно ли судить по снимкам) и каковы есть решения проблемы неравности ног? Насколько целесообразно делать операцию и укреплять перелом пластинами и т.д. в моем положении на фоне остеопороза?
 
Назад
Сверху