- Активность
- 26
Здравствуйте уважаемые доктора!!
Пожалуйста, помогите мне разобраться в моей нелёгкой ситуации!
У меня такая ситуация: 6го числа вечером менял ступичный подшипник на авто.
Пытаясь открутить ступичную гайку, прыгал на ключе правой ногой, и когда он резко поддался,
упал на домкрат левой ступней. Подумал, что вывихнул два пальца и поэтому смело наступал на поврежденную стопу.
Машина на автомате. Благодаря этому я продолжаю работать на ней таксистом.
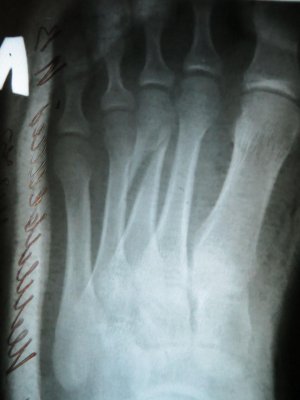
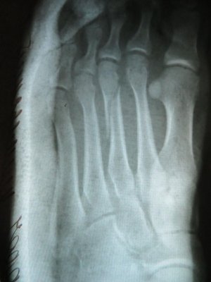
На следующий день повёз брата к целительнице, и заодно показал свою ногу. Она мне сказала, что там перелом. В травмпункте информация подтвердилась (сделали рентген который остался у врача). Оказалась сломана третья плюсневая кость, и мне просто наложили гипс прописали ОСТЕОГЕНОН (1т 2р/д).
Через неделю сделали повторный снимок, на котором я не заметил особых изменений, и наш травматолог для успокоения совести (по его словам) отправил меня на консультацию в больницу (решить вопрос о установки спицы).
Прибыл я через приёмную в ординаторскую травматологии(хирургии), где доктор посмотрев снимок дал список справок и анализов, которые нужно собрать в поликлинике для госпитализации. Сообщил что для установки спицы нужно лечь на 5 дней. Также предложил как альтернативу обратиться в частную клинику, где всё сделают быстрее, и без госпитализации, но за ~ 10 тыс. р.
Я только потом вспомнил про ГЛАВНЫЙ вопрос: а обязательно ли вообще ставить спицу?? По телефону он ответил что ЖЕЛАТЕЛЬНО.
Мне конечно оч. не хотелось бы терять и время и деньги. Да и делать лишнюю операцию совсем неохота.
После больницы я снова повёз брата к целительнице. Вообще, она занимается , как я понял, детскими нервными проблемами.
Ну так вот: я ей показал снимки, и она посоветовала (как и неделю назад) прибинтовать/склеить пластырем три пальца вместе (чтобы свести лучше сломанную кость).
Сейчас я это и сделал. Заодно и все пальцы прибинтовал в кучу (в одной конечно горизонтальной плоскости).
Теперь вот думаю: не хуже ли я сделал?? Нога вообще не болит. Лишь до гипсования, когда наступал чувствовал не оч. сильную боль. Вчера я первый раз разбинтовал ногу чтобы помыть.
Да, на второй день я подбинтовал поплотнее весь гипс, и каждое утро немного подтягивал бинт.
Сейчас перебинтовал по новой - чтоб пальцы связать. Старался в месте перелома бинтовать поплотнее, т.к мне показалось, что есть и вертикальное смещение.
Да, доктор сказал что выравнивать/совмещать кости он не будет (не делают они такого).
На счет операции: целительница сказала что она не нужна, доктор из больницы - что желательна, а травматолог просто поднял вопрос для успокоения совести...
Собственно вот что я хотел у Вас спросить:
Нужна ли мне операция по вставлению спицы(Остеосинтез ?)?
Какие могут быть последствия отказа от операции?
Не сделал ли я хуже сведя бинтом и пластырем 2,3,4 и все пальцы вместе?
Сегодняшний рентгеновский снимок прилагаю.
Заранее огромное человеческое СПАСИБО за ответы!!!!!


Пожалуйста, помогите мне разобраться в моей нелёгкой ситуации!
У меня такая ситуация: 6го числа вечером менял ступичный подшипник на авто.
Пытаясь открутить ступичную гайку, прыгал на ключе правой ногой, и когда он резко поддался,
упал на домкрат левой ступней. Подумал, что вывихнул два пальца и поэтому смело наступал на поврежденную стопу.
Машина на автомате. Благодаря этому я продолжаю работать на ней таксистом.
На следующий день повёз брата к целительнице, и заодно показал свою ногу. Она мне сказала, что там перелом. В травмпункте информация подтвердилась (сделали рентген который остался у врача). Оказалась сломана третья плюсневая кость, и мне просто наложили гипс прописали ОСТЕОГЕНОН (1т 2р/д).
Через неделю сделали повторный снимок, на котором я не заметил особых изменений, и наш травматолог для успокоения совести (по его словам) отправил меня на консультацию в больницу (решить вопрос о установки спицы).
Прибыл я через приёмную в ординаторскую травматологии(хирургии), где доктор посмотрев снимок дал список справок и анализов, которые нужно собрать в поликлинике для госпитализации. Сообщил что для установки спицы нужно лечь на 5 дней. Также предложил как альтернативу обратиться в частную клинику, где всё сделают быстрее, и без госпитализации, но за ~ 10 тыс. р.
Я только потом вспомнил про ГЛАВНЫЙ вопрос: а обязательно ли вообще ставить спицу?? По телефону он ответил что ЖЕЛАТЕЛЬНО.
Мне конечно оч. не хотелось бы терять и время и деньги. Да и делать лишнюю операцию совсем неохота.
После больницы я снова повёз брата к целительнице. Вообще, она занимается , как я понял, детскими нервными проблемами.
Ну так вот: я ей показал снимки, и она посоветовала (как и неделю назад) прибинтовать/склеить пластырем три пальца вместе (чтобы свести лучше сломанную кость).
Сейчас я это и сделал. Заодно и все пальцы прибинтовал в кучу (в одной конечно горизонтальной плоскости).
Теперь вот думаю: не хуже ли я сделал?? Нога вообще не болит. Лишь до гипсования, когда наступал чувствовал не оч. сильную боль. Вчера я первый раз разбинтовал ногу чтобы помыть.
Да, на второй день я подбинтовал поплотнее весь гипс, и каждое утро немного подтягивал бинт.
Сейчас перебинтовал по новой - чтоб пальцы связать. Старался в месте перелома бинтовать поплотнее, т.к мне показалось, что есть и вертикальное смещение.
Да, доктор сказал что выравнивать/совмещать кости он не будет (не делают они такого).
На счет операции: целительница сказала что она не нужна, доктор из больницы - что желательна, а травматолог просто поднял вопрос для успокоения совести...
Собственно вот что я хотел у Вас спросить:
Нужна ли мне операция по вставлению спицы(Остеосинтез ?)?
Какие могут быть последствия отказа от операции?
Не сделал ли я хуже сведя бинтом и пластырем 2,3,4 и все пальцы вместе?
Сегодняшний рентгеновский снимок прилагаю.
Заранее огромное человеческое СПАСИБО за ответы!!!!!


Последнее редактирование: