- Активность
- 2
Добрый день.
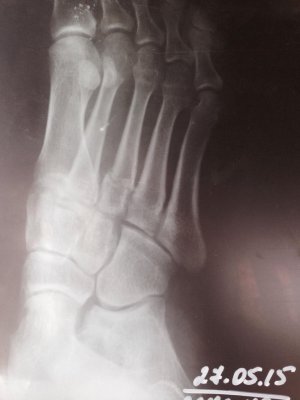
Перелом случился 2.05.2015. Неудачно споткнулась, упала и перелом. В гипсе была до 27.05.2015.на последнем приеме сделали рентген, сняли гипс и сказали рассаживаться и чем больше буду ходить, тем быстрее все заживет.
В первый день после снятия гипса вроде нормально было, но чем дальше, тем сложнее наступать. Болит в области пальцев, прям как иголками колит.
волнует вопрос, неужели так и должно быть?
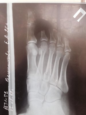
Перелом случился 2.05.2015. Неудачно споткнулась, упала и перелом. В гипсе была до 27.05.2015.на последнем приеме сделали рентген, сняли гипс и сказали рассаживаться и чем больше буду ходить, тем быстрее все заживет.
В первый день после снятия гипса вроде нормально было, но чем дальше, тем сложнее наступать. Болит в области пальцев, прям как иголками колит.
волнует вопрос, неужели так и должно быть?