- Активность
- 8
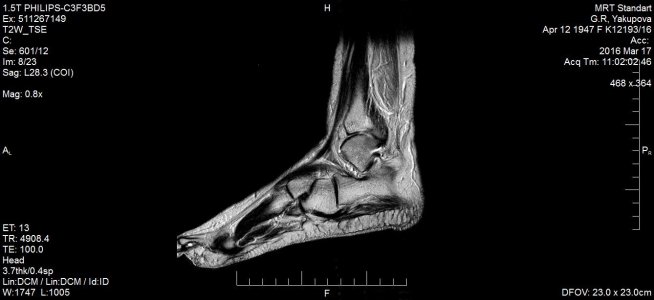
Здравствуйте, мне 39лет. 4,5мес.назад я упала. Сделали рентген и сказали, что у меня частичное повреждение связок, а перелом не видели, позже сказали, что не видно .Ступать на ногу не могла. Через 1,5мес. я прошла МРТ- выявили перелом заднего края большеберцовой кости левого голеностопа. Гипс наложила я сама на 10дней. В итоге я начала наступать на ногу через 2,5месяца. Но у меня болела нога и я не могла ходить. Врач сказал, что у меня, скорее всего, надрыв ахиллова сухожилия и наложили гипс на 10дней. Прошло в итоге 4,5 месяца, КТ и МРТ показывают перелом несрастающийся без смещения. Пролежала в больнице, провели курс лечения сосудистыми препаратами: пентоксифилин и риополиглютин, никотиновая кислота и витамины группы В.
Недели 2 тому назад еще прошла МРТ, написали остеоартроз голеностопного сустава и стопы, минимального синовита голеностопного сустава, краевой косой перелом дорзальных отделов медиальной лодыжки. Что делать дальше? Врач не знает, так как своевременно не наложили гипс, прошло время. Помогите, пожалуйста, что мне делать, чтобы место перелома срослось? Наступать можно полностью на стопу или движение мешает сращиванию?это МРТ снимки


Недели 2 тому назад еще прошла МРТ, написали остеоартроз голеностопного сустава и стопы, минимального синовита голеностопного сустава, краевой косой перелом дорзальных отделов медиальной лодыжки. Что делать дальше? Врач не знает, так как своевременно не наложили гипс, прошло время. Помогите, пожалуйста, что мне делать, чтобы место перелома срослось? Наступать можно полностью на стопу или движение мешает сращиванию?это МРТ снимки


