Добрый день, форумчане.
Мне 31 год. Мужчина. Рост 186 см, вес 85,6 кг. На работе целый день на ногах. Приходится бегать. Курю около 12 лет. Раньше професионально занимался футболом.
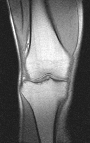
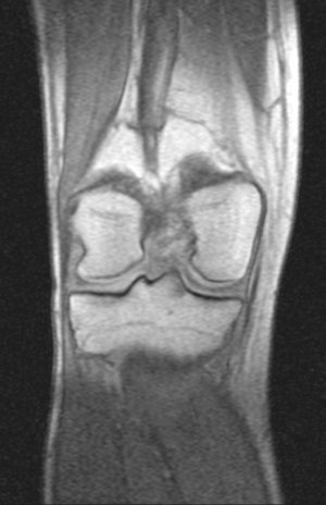
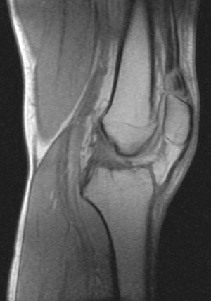
Недавно,5 сентября получил травму на работе. Выходя из транспорта почувствовал резкую боль с внутренней стороны колена (как бы ножом режет). Весь день не мог нормально поднять ногу. Особенно боль проявлялась при спуске по ступенькам. Через 3 часа после травмы обратился в травмпункт. Там сделали рентгенный снимок и сказали, что все впорядке. На следующий день весь коленный сустав с внешней стороны стал как бы после заморозки (холодить изнутри). Через дней 5-6 боль притупилась, а еще через несколько дней прошла. Но сустав все еще морозит изнутри. При резких движениях ощущения что кости сустава выходят и входят обратно на свое место. И сустав как будто чугунный. 8 октября сделал МРТ (так как большие очереди пришлось месяц прождать). Врач делавший МРТ сказал что дислокация коленной чашечки. К травмотологу только через неделю записан. Может подскажите что это? И последнее, сегодня начал морозить изнутри и сустав другой ноги. И холодок теперь идет от колена и вниз аж до пальцев на обеих ногах. Как бы онимения. Теперь не могу пробежать и нескольких метров такое ощущения что ниже колена мышцы как деревянные. Вот некоторые снимки МРТ. Рентген будет завтра на руках, если понадобится. Есть ли на самом деле смещение коленной чашечки?
Зарание благодарен.
С уважением.




Мне 31 год. Мужчина. Рост 186 см, вес 85,6 кг. На работе целый день на ногах. Приходится бегать. Курю около 12 лет. Раньше професионально занимался футболом.
Недавно,5 сентября получил травму на работе. Выходя из транспорта почувствовал резкую боль с внутренней стороны колена (как бы ножом режет). Весь день не мог нормально поднять ногу. Особенно боль проявлялась при спуске по ступенькам. Через 3 часа после травмы обратился в травмпункт. Там сделали рентгенный снимок и сказали, что все впорядке. На следующий день весь коленный сустав с внешней стороны стал как бы после заморозки (холодить изнутри). Через дней 5-6 боль притупилась, а еще через несколько дней прошла. Но сустав все еще морозит изнутри. При резких движениях ощущения что кости сустава выходят и входят обратно на свое место. И сустав как будто чугунный. 8 октября сделал МРТ (так как большие очереди пришлось месяц прождать). Врач делавший МРТ сказал что дислокация коленной чашечки. К травмотологу только через неделю записан. Может подскажите что это? И последнее, сегодня начал морозить изнутри и сустав другой ноги. И холодок теперь идет от колена и вниз аж до пальцев на обеих ногах. Как бы онимения. Теперь не могу пробежать и нескольких метров такое ощущения что ниже колена мышцы как деревянные. Вот некоторые снимки МРТ. Рентген будет завтра на руках, если понадобится. Есть ли на самом деле смещение коленной чашечки?
Зарание благодарен.
С уважением.




