papsuev
🟢
- Обсуждения
- 2

Интересный случай. Вместо боковых резцов прорезались клыки. На фото видно как прямыми винирами форма клыков изменена. Пациентка просила минимально обрабатывать клыки, поэтому он немного темнее центральных зубов. Щель между центральными зубами решила оставить как есть.

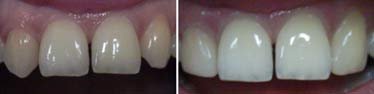
Прямой винир центрального зуба с фото до и после. Обработки зуба почти не было.
Такие белые зубы очень нужны, если вы отправляетесь на свадьбу. Ведь фотограф на свадьбу будет запечатлять всё событие и вы на фотографиях должны выглядеть превосходно!