- Активность
- 6
Здравствуйте,Мне 26 лет, М.
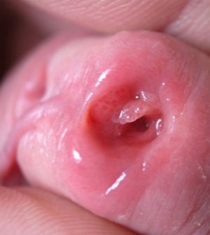
На слизистой ПЧ обнаружил 3-и (по моим подсчетам) гребешка (как я понял кондиломы).
Были обнаружены на следующий день после большой дозы алкоголя, сауны, ледяного бассейна (стресс для иммунитета?) в начале ноября 2012 .. алкоголь употребляю очень редко, раз в 4-5 месяцев, а тут не получилось как то рассчитать..но вернемся к нашим кондиломам - они в размере уменьшились через 1,5 недели после того как я их обнаружил. Сейчас уже Январь 2013... вроде как и уменьшаются, а вроде и нет...но не растут это точно.
Анализы сдавал в конце ноября 2012 - Кровь, Мочу и на кучу ЗППП разных, нашли через ПЦР - ВПЧ - 18,45,39,59 другого "добра" найдено не было. Кровь и моча тоже в норме.
А вопрос собственно следующий - начитался в инете что если их не удалить то они очень быстро размножаются и могут пойти в уретру.....что не гуд. Не хочу хирургически вмешиваться в орган, да и вообще панически этого боюсь, возможен ли такой исход что они пройдут сами? Я не курю, не пью (и теперь еще долго не буду, аж страшно), занимаюсь спортом, правильно питаюсь, т.е. стараюсь поддерживать иммунитет. Врач прописал программу на месяц с иммуностимулирующими, уколами и тп. Только вот я тоже думаю стоит ли все это делать? Надеюсь на иммунитет все же... Врач вообще подумал что это у меня покраснения какие то на уретре,а не кондиломы и на будующее сказал - появятся если кондиломы то удалим. А я только сейчас сам по изучению интернета понял что все же это кондиломы..
Размером эти "Гребешки" ну по 1 мм наверное. Кровоточили послей той пьянки на утро - поэтому я их и увидел, а сейчас вроде не беспокоят, да и вообще их видно только если раздвинуть слизистую. Фото всей красоты прикрепил (фото со вспышкой и макросъемкой - в реальной же жизни их даже при свете практически не видно, если только фонариком туда светить
), на всякий случай еще выложу их ссылками: 1фото и 2фото(увеличение)
Заранее спасибо за советы!
На слизистой ПЧ обнаружил 3-и (по моим подсчетам) гребешка (как я понял кондиломы).
Были обнаружены на следующий день после большой дозы алкоголя, сауны, ледяного бассейна (стресс для иммунитета?) в начале ноября 2012 .. алкоголь употребляю очень редко, раз в 4-5 месяцев, а тут не получилось как то рассчитать..но вернемся к нашим кондиломам - они в размере уменьшились через 1,5 недели после того как я их обнаружил. Сейчас уже Январь 2013... вроде как и уменьшаются, а вроде и нет...но не растут это точно.
Анализы сдавал в конце ноября 2012 - Кровь, Мочу и на кучу ЗППП разных, нашли через ПЦР - ВПЧ - 18,45,39,59 другого "добра" найдено не было. Кровь и моча тоже в норме.
А вопрос собственно следующий - начитался в инете что если их не удалить то они очень быстро размножаются и могут пойти в уретру.....что не гуд. Не хочу хирургически вмешиваться в орган, да и вообще панически этого боюсь, возможен ли такой исход что они пройдут сами? Я не курю, не пью (и теперь еще долго не буду, аж страшно), занимаюсь спортом, правильно питаюсь, т.е. стараюсь поддерживать иммунитет. Врач прописал программу на месяц с иммуностимулирующими, уколами и тп. Только вот я тоже думаю стоит ли все это делать? Надеюсь на иммунитет все же... Врач вообще подумал что это у меня покраснения какие то на уретре,а не кондиломы и на будующее сказал - появятся если кондиломы то удалим. А я только сейчас сам по изучению интернета понял что все же это кондиломы..
Размером эти "Гребешки" ну по 1 мм наверное. Кровоточили послей той пьянки на утро - поэтому я их и увидел, а сейчас вроде не беспокоят, да и вообще их видно только если раздвинуть слизистую. Фото всей красоты прикрепил (фото со вспышкой и макросъемкой - в реальной же жизни их даже при свете практически не видно, если только фонариком туда светить
Заранее спасибо за советы!
