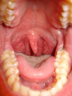
вот пара снимком от 2006 года и пара снимков сегодняшних... надоело оно мне (горло) вот и пишу, может есть решение проблемы.....
началось всё очень давно и к докторам обращались, никто ничем не помог...
так вот, лет с 10-15 назад хорошенько простыл, болело горло и т.д. (стандартные симптомы), но после этого постепенно стали появляться язвы на миндалинах, которые всё это время только прогрессировали и сейчас, когда простываю, они начинают как бы гнить и обростают (наверно) гнойниками (достаточно твёрдые на ощупь, если достать от туда) и пахнут крайне зловонно, когда вроде здоров гнойники исчезают, НО остаются уже сквозные дырки в которые забивается пища и тоже гниёт и пахнет! когда сильно это надоедает начинаю чистку, просто беру тонкую палочку с ваткой и каждую дырку в миндалинах прочищаю, весь мусор из дырок удаляю и после этого миндалины вроде как даже здоровее становятся и запах пропадает!
вопрос специалистам вот в чём: как эти дырки заживить, чтобы в них заново не образовывались гнойники и чтобы в них не попадала пища?
сразу скажу, что поласканием после еды и т.д. (обычные средства гигиены) делу не поможешь!
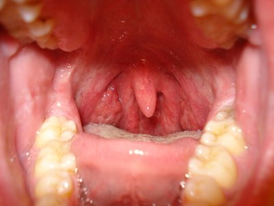
началось всё очень давно и к докторам обращались, никто ничем не помог...
так вот, лет с 10-15 назад хорошенько простыл, болело горло и т.д. (стандартные симптомы), но после этого постепенно стали появляться язвы на миндалинах, которые всё это время только прогрессировали и сейчас, когда простываю, они начинают как бы гнить и обростают (наверно) гнойниками (достаточно твёрдые на ощупь, если достать от туда) и пахнут крайне зловонно, когда вроде здоров гнойники исчезают, НО остаются уже сквозные дырки в которые забивается пища и тоже гниёт и пахнет! когда сильно это надоедает начинаю чистку, просто беру тонкую палочку с ваткой и каждую дырку в миндалинах прочищаю, весь мусор из дырок удаляю и после этого миндалины вроде как даже здоровее становятся и запах пропадает!
вопрос специалистам вот в чём: как эти дырки заживить, чтобы в них заново не образовывались гнойники и чтобы в них не попадала пища?
сразу скажу, что поласканием после еды и т.д. (обычные средства гигиены) делу не поможешь!