перелом 5 плюсневой кости

Предоставьте пожалуйста рентгеновский снимок.
 
здравстуйте!
я сломал 5 плюсневая кость уже 3 раза..((
вот последний раз 11 августа, а мне щась бегать можно, так как у меня 1 ноября сборы (фуболом занимаюсь)
 
необходимо решить очно с лечащим врачом,многое зависит от рентгеновского снимка.Для серьезных физических нагрузок прошло мало времени.
 
Здравствуйте! 13.09 сломала пятую плюсневую кость левой ноги без смещения. Косой перелом в середине кости, к сожалению, рентген снимки находятся в поликлинике и на руки не дали. Проходила 3 недели в гипсе, затем просто туго бинтовала. Болевых ощущений почти не было. 14.10 сделала повторный рентген, на котором почти ничего не изменилось, костной мозоли нет. Врач сказал использовать эластичный бинт и давать небольшую нагрузку. Даже при слабом натяжении эластичного бинта появляется боль, такого не было при использовании обычной тугой повязки. Нормально ли это? Не сделаю ли я хуже при ношении эластичного бинта через боль? Заранее спасибо!
 
не видя рентгеновские снимки,что то посоветовать тяжело.При отсутствии положительной динамики,необходима гипсовая иммобилизация или оперативное лечение.
 
Большое спасибо за быстрый ответ. Врач сказал, что гипс накладывать больше не имеет смысла. Можно немного приступать на ногу. Но в эластичном бинте делать этого не могу, так как сжимаясь и разжимаясь он причиняет мне порой даже острую боль (как будто косточки друг на друга наезжают). Пока туго бинтую обычным широким бинтом. Какой еще способ фиксации сможете посоветовать. Врач ничего толком не говорит. Даже никакого теплолечения не назначил, сама дома грею синей лампой и мажу индовазином. Совсем не ходить не могу. Пожалуйста, помогите!
 
Обратитесь в ортопедический салон,есть специальные фиксаторы для стопы.Индовазином продолжайте мазать,так как он содержит венотоник,укрепляющий стенку сосудов и улучшает кровоснабжение.При сохранении функции стопы другие методы лечения не показаны.
 
Здравствуй,у меня субкапитальный перелом 5 плюсневой кости правой стопы без смещения,к сожалению, снимки на руки не дали..уже 3 недели хожу в гипсе,врач сказал через неделю будем снимать гипс,в общей сложности в гипсе буду находиться 4 недели..достаточно ли этого срока для сращивания?это опасный перелом?можно ли мне сейчас наступать на ногу?и когда можно приступать к физическим нагрузкам???я работаю артисткой балета..
 
Сроки срастания такого перелома 4-6 недель.Данного срока вполне достаточно.На конечность наступать можно.К физическим нагрузкам можно приступать через 8-12 недель после снятия гипса.
 
Доброго времени суток!
мне 21 год!Сломал 5-ю плюсневую кость правой стопы с небольшим смещением!
Наложили гипс!ровно через месяц в гипсе пошел к врачу,сделали рентген.
Доктор снова наложил гипс на 3 недели,так как сказал что не срослось вообще!
Посоветуйте пожалуйста что то,так как я играю в футбол!Смогу ли я снова играть и не будет ли меня беспокоить эта травма??
И Дайте пожалуйста совет ,принимать что то и что,что кушать может,что бы лучше было?так как врач ничего толкового не сказал совсем! ("Ялта Город Счастья")
 
Последнее редактирование:
предоставьте рентгеновский снимок.
 
Необходим прием препаратов кальция,например кальций д3 никомед.Сроки реабилитации не видя снимков выставить невозможно.
 
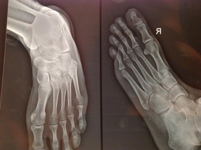
Здравствуйте! Я нахожусь сейчас за границей, в Индии. 28 марта упал с байка и перелом 5-й плюсневой кости. Снимок сделал в этот же день, нога была опухшая и 5 дней я ходил в повязке, 2 апреля мне наложили гипс и сказали носить его три недели, на ногу можно будет чуть-чуть наступать спустя неделю. После снятия гипса, два-три дня продолжать ходить на костылях, потом можно просто начинать полноценно ходить.
Спустя 11 дней после падения сделал повторный снимок когда уже был в гипсе.
Хотел спросить у Вас, все ли верно сказал доктор?
Мне 24 года, рост 177 и вес 62.
 

Вложения

  • image.jpg
    image.jpg
    174,5 КБ · Просмотры: 1 127
  • image.jpg
    image.jpg
    223,6 КБ · Просмотры: 828
При данном переломе гипсовая иммобилизация должна составлять 4-5 недель.
 
Здравствуйте! Я подвернула ногу и получила перелом 5 плюсневой .Гипс наложили только на 13 день после травмы на 4 недели, до этого бинтовала эластичным бинтом.Так как не знала что у меня перелом то наступала на ногу с первого дня (не сильно) В день наложения гипса, отека уже не было, да и синяк почти прошел, почти хорошо ходила, только не много болело в области перелома и была на этом месте небольшая шишка.Теперь хожу на костылях.Вопрос, через сколько могу приступать на ногу теперь в гипсе, так как и без гипса я почти ходила? И можно ли шевелить пальцами и напрягать ногу?спасибо
 
Назад
Сверху