перелом 5 плюсневой кости

Здравствуйте! Меня зовут Сергей. У моей жены при хождении появляется резкая боль в области пятой плюсневой кости! Никаких ушибов и травм не было, опухоли и отеков тоже нет! Какую можно провести профилактику, чтобы избежать перелома? Заранее, Спасибо!!!
 
это надо видеть, чаще всего это варус переднего отдела стопы, тогда ортопедические стельки с передним пронатором.
 
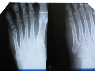
Здравствуйте! Скажите, пожалуйста, есть ли улучшения в сростании 5 плюсн. кости? Первый снимок сделан в день травмы, 2-ой - через 20 дней.
08.05.2010.JPG 28.05.2010.JPG
По мне, так то же самое))
Заранее, спасибо!
 
Особой разницы не вижу, да и рано еще.
Странно. Сегодня в травматологии сняли гипс и делали этот повторный снимок, сказали неделю еще на физ.процедуры походить, а по поводу снимков сказали, что практически здоров)) Что же мне посоветуете делать?
 
Правильно сказали, фиксация гипсом 4 недели. Срастается перелом дольше, до 3-х мес. Вы спрашивали о динамике сращения, на картинках которые вы вывесили она не видна. Что вижу, то и говорю.
 
Здравствуйте. 9 мая упала неудачно на стопу. Рентген показал оскольчатый перелом пятой плюсневой кости со смещением. Пью кальценмин, хожу на магнит (уже 6 процедур), с 3 недели хожу по дому, опираясь на пятку. боли при этом не испытываю. После магнитов появилась незначительная боль. 8 июня будут делать повторный снимок. а 13-го или 20-го снимать гипс (от которого очень устала уже). Скажите, пожалуйста, сколько срастается такой перелом, и не будет ли последствий от того что хожу по дому опираясб на пятку? Сколько после снятия ги пса ходить без каблука и сколько разрабатывать ногу? необходима ли лечебная физкультура, какие псоле снятия гипса необходимы физио процедуры и можно ли через 2 недели после снятия гипса ехать на морское побережье?Также необходимо ли оставаться на больничном после снятия гипса или можно ездить на работу.
Заранее благодарна.
 
Это смотря какая часть плюсневой кости сломана. Диафиз срастается 4 недели, можно ехать на море, можно на работу.
 
спасибо большое. На левой ноге пальца мизинца примерно посередине стопы. Рентген заберу у травматолога и размещу. Как раз повторный делать буду. Еще раз спасибо.
 
Добрый вечер!
Мне 19 лет, пол: женский.
24 дня назад сломала диафиз 5 плюсневой кости. Наложили гипс на 4 недели. Сегодня сделали контрольный снимок. Кость только начала сростаться. Сказали, что сростается гораздо медленнее, чем обычно в моем возрасте. Можете посоветовать что-то, чтобы сросталось быстрее?
И еще один вопрос. Врач сказал, что гипс снимут через 2 недели, а у меня запланированна поездка как раз по снятию гипса. Как думаете, возможно сразу же после снятия гипса целый день находится на ногах?
И когда можно будет начинать тренироваться (я - танцовщица)?
Заранее благодарю за ответы.
 
Василий Иванович, здравствуйте!
Хочу спросить у вас совета.
25.06.10 случилась травма левой стопы, через час-полтора наложили гипс и заявили о переломе основания пятой плюсневой (Джонса). Снимок не показали, на руки не дали.
Через четыре дня, то есть сегодня, посетила районного травматолога, был сделан повторный снимок, который тоже не выдали, сфотографировала на телефон, качество весьма сомнительное, но все же.

x_2f2ab1ba.jpg

x_03f191b6.jpg

x_8d9b2d4b.jpg


Собственно, вопрос в том, действительно ли мне нужно носить гипс 5 недель, все это время не наступая на ногу и держа ее высоко в воздухе, или же есть шанс расстаться с куском гипса несколько раньше?
В целях скорейшего заращивания ногу не беспокою, не приступаю на нее и вообще лишний раз не напрягаю мышцы (где-то начиталась, что при моем переломе напряжение мышц оттягивает обломок и срастается все медленнее)
 
Добрый день, Василий Иванович!
Очень бы хотелось получить Ваши рекомендации.
Подвернула ногу, обратилась в травмпункт и выяснилось ,что у меня перелом основания 5 плюсневой без смещения. наложили лангету(сапожок), сказали ,что на 3 недели. а у меня через 2 недели запланирована поездка. на ногу начала наступать уже на 2й день после перелома, болезненных ощущений почти не испытываю. Можно ли в таком случае снимать гипс уже через 2 недели?может, можно заменить его ортопедической обувью?
Снимок, к сожалению, приложить не могу ,он в поликлинике.
 
Гипотетически можно: нужно подобрать удобную закрытую обувь (с немецкой колодкой), изготовить индивидуальную стельку, правильно фиксировать ногу хб бинтом или тейпом. Практически это сложно осуществить.
 
Здравствуйте, мне 32г
27июня был закрытый перелом пятой плюсневой со смещением.наложена гипсовая лангета, + ходила только на костылях.
травматолог сказал снимать гипс через 4 недели (26июля), что я и сделала.
начала немного нагружать ногу. хожу в ортопедических сандалях, опираясь на костыль. в последнии два дня испытываю боль в месте перелома.
+ нога опухает. это нормальное состояние или был рано снят гипс?
снимки ноги. 10 дней после перелома.

 
Последнее редактирование:
Здравствуйте! Вопрос к врачу: 19 июля оступилась- думала просто ушиб, приехала в травму 20 июля, поставили диагноз: перелом 5-й плюсневой кости со смещением. Предлогали операцию, я отказалась, наложили лангет до середины голени, после 3-х недель сделала снимок- результа никакого, не срастается! Подскажите пожалуйста, есть шанс, что срастется без операции, и не будет ли последствий??? Сейчас пью "Остеогенон"
Мне 19 лет.
Заранее спасибо!
 
Питание и диеты
Перечень странных симптомов...
Депрессия, панические атаки, СДВГ
Сексуальные проблемы "М" и "Ж"
Рейтинг зубных имплантов ⤑
Назад
Сверху