v-ugnivenko
⭐⭐⭐⭐⭐ ВРАЧ-ЭКСПЕРТ
- Обсуждения
- 3 430
"тыл стопы над пяткой" - это как?
Посмотрите видео ниже, чтобы узнать, как установить наш сайт в виде веб-приложения на главном экране.
Примечание: Эта функция может быть недоступна в некоторых браузерах.
Понятно, а перелом был в каком месте?
Отрывной или Джонса? Если отрывной, то так бывает

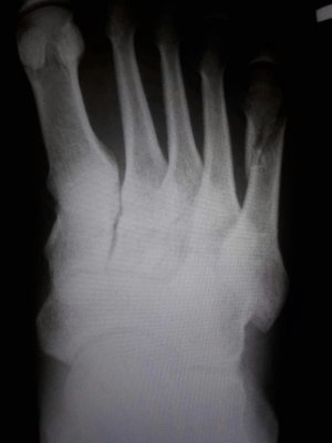
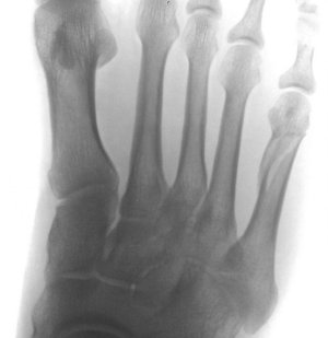
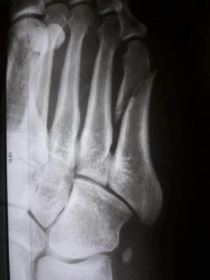
Здравствуйте. Мне 38 лет. Перелом 5-ой плюсневой.
Приложенные снимки - на следующий день после случившегося. Сразу в гипс на 5 недель. Ни в травмпункте, ни в поликлинике лечащий врач даже на упоминали операцию.
Только в травмпункте доктор сказал "... с незначительным смещением, поэтому просто гипс на месяц."
Очень хотелось бы узнать Ваше мнение. Есть ли шанс на самостоятельное сращение без оперативного вмешательства.
Спасибо.
Посмотреть вложение 13116 Посмотреть вложение 13117
