У
Угнивенко
⚪
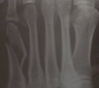
Здравствуйте. 1 июня неудачно подвернула ногу и в результате - перелом основания пятой плюсневой кости без смещения (краевой перелом?).
Наложили гипсовую лонгету, потом для удобства заменила на пластиковый гипс. Врач сказал, что можно аккуратно ходить. Сегодня ( прошло 6 дней) нога не болит, отек почти прошел, гематома на пальцах.
![]()
У меня такие вопросы:
1. действительно ли можно наступать на ногу?
2. может ли от нагрузки появиться смещение? Надо ли делать контрольный снимок через неделю, чтобы убедиться, что смещения нет?
3. Когда имеет смысл делать контрольный снимок?
Спасибо
Наступать можно, контрольный снимок через 10 дней и 6 недель. Возможны варианты.