Перелом основания пятой плюсневой кости.

Больших причин для беспокойства нет.Гипс вам наложен адекватно.Боль может иррадиировать по всей стопе.Что касается врачебной халатности,то врачи люди а не роботы,перелом без смещения бывает очень тяжело увидеть.
Срок гипсовой иммобилизации 4-6 недель.
 
Здравствуйте! 09.06.14 в травмпункте зафиксировали перелом 5 плюснивой кости. был наложен гипс.Сделали рентген никаких смещений не было. Через 4 недели сняли гипс, рентген по новой и показало что кость не сраслась да ещё и со смещением! Сказали что формируется костная мазоль. Прошло 10 дней со дня снятия гипса на месте перелома беспокоит шишка! на ногу ступать не могу, острая боль! Что делать?
 
Предоставьте рентгеновский снимок.Боль может сохраняться долго.
 
Добрый день! Вчера подвернула ногу на каблуке. Сначала нормально ходила, а через 2 часа не смогла стать. Сказали, что перелом. Это правда?
Наложили гипс по стопе и икре сзади. Но нога ноет в гипсе. До этого не болела, пока не наступала. Может, мне неправильно наложили гипс???
Какие лекарства нужно купить?
 
Здравствуйте уважаемые доктора!!
Пожалуйста, помогите мне разобраться в моей нелёгкой ситуации!
У меня такая ситуация: 6го числа вечером менял ступичный подшипник на авто.
Пытаясь открутить ступичную гайку, прыгал на ключе правой ногой, и когда он резко поддался,
упал на домкрат левой ступней. Подумал, что вывихнул два пальца и поэтому смело наступал на поврежденную стопу.
Машина на автомате. Благодаря этому я продолжаю работать на ней таксистом.
На следующий день повёз брата к целительнице, и заодно показал свою ногу. Она мне сказала, что там перелом. В травмпункте информация подтвердилась (сделали рентген который остался у врача). Оказалась сломана третья плюсневая кость, и мне просто наложили гипс прописали ОСТЕОГЕНОН (1т 2р/д).
Через неделю сделали повторный снимок, на котором я не заметил особых изменений, и наш травматолог для успокоения совести (по его словам) отправил меня на консультацию в больницу (решить вопрос о установки спицы).
Прибыл я через приёмную в ординаторскую травматологии(хирургии), где доктор посмотрев снимок дал список справок и анализов, которые нужно собрать в поликлинике для госпитализации. Сообщил что для установки спицы нужно лечь на 5 дней. Также предложил как альтернативу обратиться в частную клинику, где всё сделают быстрее, и без госпитализации, но за ~ 10 тыс. р.
Я только потом вспомнил про ГЛАВНЫЙ вопрос: а обязательно ли вообще ставить спицу?? По телефону он ответил что ЖЕЛАТЕЛЬНО.
Мне конечно оч. не хотелось бы терять и время и деньги. Да и делать лишнюю операцию совсем неохота.
После больницы я снова повёз брата к целительнице. Вообще, она занимается , как я понял, детскими нервными проблемами.
Ну так вот: я ей показал снимки, и она посоветовала (как и неделю назад) прибинтовать/склеить пластырем три пальца вместе (чтобы свести лучше сломанную кость).
Сейчас я это и сделал. Заодно и все пальцы прибинтовал в кучу (в одной конечно горизонтальной плоскости).
Теперь вот думаю: не хуже ли я сделал?? Нога вообще не болит. Лишь до гипсования, когда наступал чувствовал не оч. сильную боль. Вчера я первый раз разбинтовал ногу чтобы помыть.
Да, на второй день я подбинтовал поплотнее весь гипс, и каждое утро немного подтягивал бинт.
Сейчас перебинтовал по новой - чтоб пальцы связать. Старался в месте перелома бинтовать поплотнее, т.к мне показалось, что есть и вертикальное смещение.
Да, доктор сказал что выравнивать/совмещать кости он не будет (не делают они такого).
На счет операции: целительница сказала что она не нужна, доктор из больницы - что желательна, а травматолог просто поднял вопрос для успокоения совести...
Собственно вот что я хотел у Вас спросить:
Нужна ли мне операция по вставлению спицы(Остеосинтез ?)?
Какие могут быть последствия отказа от операции?
Не сделал ли я хуже сведя бинтом и пластырем 2,3,4 и все пальцы вместе?
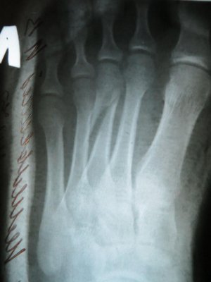
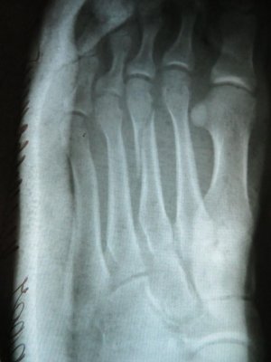
Сегодняшний рентгеновский снимок прилагаю.
Заранее огромное человеческое СПАСИБО за ответы!!!!!
 

Вложения

  • IMG_13 45.jpg
    IMG_13 45.jpg
    132,5 КБ · Просмотры: 720
  • IMG_134 6.jpg
    IMG_134 6.jpg
    87,9 КБ · Просмотры: 638
Последнее редактирование:
По данному рентгеновскому снимку действительно показано оперативное лечение
 
Перелом основания 5-й плюсневой.jpg
Добрый день!
Неделю назад оступился на лестнице, в итоге перелом основания пятой плюсневой кости. Травматолог который смотрел первично, сказал, что операция не требуется, срастется и так, наложили гипс.
Через неделю, на повторном приеме, врач был другой и он сразу же отправил на снимок и госпитализацию в городскую больницу, для выполнения операции. Врачи в городской больнице посмотрели снимок и сказали, что операция не требуется. Что в итоге мне делать, срастется ли такой перелом, я до сих пор точно не знаю. Свежий снимок во вложении.
Помогите, пожалуйста!
 
Назад
Сверху