Посмотрите видео ниже, чтобы узнать, как установить наш сайт в виде веб-приложения на главном экране.
Примечание: Эта функция может быть недоступна в некоторых браузерах.

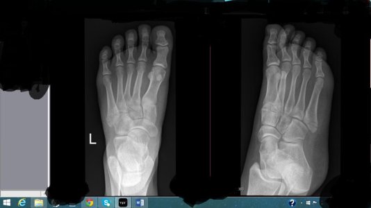
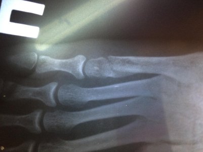
Здравствуйте, мне 19. Рост 150см вес 49, 2 недели назад играла фрисби и повернула ногу, думала ничего серьезного врач приходила сказала связки, спустя 1,5 недели пошла в больницу где мне сделали рентген и написали, что у меня перелом 5-ой плюсневой кости (это написано на польском перевела через переводчик), поставили гипс, сказали через недельку в другую больницу съездить. Сегодня друг забрал мой рентген, посмотрите пожалуйста, ничего серьезного, долго мне придется носить гипс, так как через 5 дней у меня поездка, можно мне ходить? иногда наступаю дома на ногу мне не больно ходить еще. Посмотреть вложение 12228