Время реабилитации после перелома ноги?

  • Автор темы Автор темы lipskiy
Доброго времени суток.
Такой вопрос мучает: В мае 2010 года мне делали операцию по удлинению ноги. Перелом был совершен в районе бедра, около коленного сустава. Поставили аппарат Илизарова. Растянули на 3,5 см. Нахожусь на закреплении уже 5 месяцев. Скажите, пожалуйста, как долго мне придется еще ждать сращивания косточки, ее закрепления? И что Вы можете посоветовать, чтобы ускорить этот процесс? Есть отсканированные R-снимки. Могу их как-нибудь выслать, может быть, на электронную почту, если позволите.
 
служу в армии.сломал плюсневую кость,через месяц сказали снимут гипс.на сколько меня должны освободить от строевой и физической подготовки?и могут ли меня комиссовать?
 
служу в армии.сломал плюсневую кость,через месяц сказали снимут гипс.на сколько меня должны освободить от строевой и физической подготовки?и могут ли меня комиссовать?

От физподготовки на месяц (с ограничениями нагрузки на ноги ещё на месяц), на два от строевой - если нормативы не менялись.
 
Здраствуйте,был перелом второй плюсневой кости. На пятый день после снятия гипса попытался встать на носок на больной ноге,было больно, но все же получилось. Но к вечеру появилась опухоль. Это нормально при реабилитации?
 
Здравствуйте,

у меня перелом 3 и 4 плюсневой кости (4й повторный - через 1,5 мес после первой травмы). Сегодня мне сняли гипсовую лангетку со стопы, сделав контрольный снимок и сказав, что все нормально - гипс на ноге был 15 дней. Снимки я видела и поняла, что все в порядке. Мне дали рекомендации по ортопедическим стелькам и все. Ни про упражнения, ни про другие процедуры не сказали. Скажу честно, по квартире я слегка опираясь на больную ногу хожу уже давно, сначала в гипсе, а 4 дня назад сняла лангету и ходила по квартире без нее. Сейчас хожу опираясь на полную стопу.
Я занимаюсь Ирландскими танцами и всвязи с этим попробовала сделать самые простые упражнения, которые помогут мне быстрее вернуться к тернировкам - встать на полупальцы. Поняла, что мне больно. И использовать сломаную ногу как опорную пока сложновато.

Подскажите, пожалуйста, какие конкретно упражнения, действия и процедуры помогут мне ускорить восстановление. Возможно где-нибудь есть их описание?
И сколько времени мне понадобится на полное восстановление и когда можно снова приступить к тренировкам?

Спасибо.
 
Безответственно не видя пациента и снимки прогнозировать и давать советы. Реабилитаци ориентировочно 3 мес. нужны правильно подрбранные ортопедические стельки.
 
Здравствуйте,

у меня повторный перелом 4й и первичный 3й плюсневой костей. Сегодня после контрольных снимков мне сняли лангету, наложенную на стопу (гипс был наложен на 15 дней; с первого дня перелома прошло 20 дней) , но не дали никаких рекомендаций относительно восстановления, кроме преобретения ортопедических стелек. Скажу еще, что дома я ходить без трости начала на 4й день после обращен7ия к врачу, аккуратно и несильно опираясь на пытку больной ноги. 4 дня назад лангету сняла самостоятельно в домашних условиях и ходила по квартире уже без нее. Передвигалась по квартире мало, но самостоятельно. Каких-то специальных упражнений не делала, т.к. не было рекомендаций.

Я занимаюсь Ирландскими танцами и на эти суставы приходится основная нагрузка. (постоянное нахождение и передвижение на высоких полупальцах). В данный момент место перелома при давлении не болит, но появляются болевые ощущения при хотьбе и попытке чуть-чуть разработать это место и слегка приподниматься (буквально на 5-15 мм от пола) на носки.

Вопрос: какие конкретно упражнения, действия и процедуры в домашних условиях ускорят процесс восстановления? сколько времени понадобится для полного выздоровления и когда можно начать тренироваться хотя бы в полсилы?

Спасибо
 
Здравствуйте! У меня несколько раз была травма голеностопного сустава. Месяца два мазал мазями, потом два месяца вообще не занимался спортом,а вот вчера опять подвернул ногу. Нога даже не опухла, но резкая боль чувствуется, когда ногу выворачиваешь вправо(влево) и на нее опираешься. Посоветуйте, что это может быть и сколько времени сустав вообще будет восстанавливаться? ?!
E- mail: kosogov_@mail. ru
 
Здравствуйте!
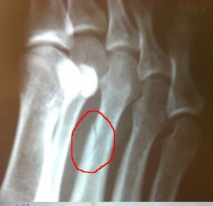
Мне 23, занимаюсь ирландскими танцами. Неудачно прыгнула, и как результат - перелом диафиза 3 плюсневой без смещения.
Вот снимок x-ray1.JPG
Отёка, синяка, никаких внешних изменений не было. До обращения в травмпункт наблюдалась только несильная, но чувствительная боль при отрыве стопы от пола. На следующий после перелома день на стопу был наложен гипс (лангета), доктор сказал, что на 3 недели. На повторном приёме (через 5 дней) было велено оставить костыли и пользоваться тростью или 1 костылём.
На данный момент передвигаюсь по дому вовсе без дополнительной опоры (хотя, конечно, медленно и осторожно..) так как "запакованная" нога совсем не болит, не отекает, не ноет.
Вопрос заключается в следующем: Как скоро после снятия гипса можно будет без риска осложнений и повторной травмы возобновить нагрузки на стопу?

С уважением,
Ольга
 
Последнее редактирование:
Как скоро можно посещать бассеин после косого перелома большой берцовой кости? (ответа очень ждёт ребенок).Заранее благодарю.
 
Добрый день, у меня трещина в пятке, проносил гипс месяц и две недели, снял гипс, отека нет, нога краснеет когда встаю, наступать боюсь, чуствую дискомфорт в суставах, что делать? расхаживать или держать в покое, и нуженли эластичный бинт только днем или же ночью тоже?
 
Title Line One - Course Name
Title Line Two - Student Manual or Instructor Manual
Title Line Three - iScala 2.3 SR3
Date - March 2011

Добрый день!

Мне 28 лет, 18.03 оступился на улице, упал, получил повреждение правой голени. Сначала думал, что просто растяжение связок голеностопа, но был отвезен в институт Склифосовского, где сделали рентген и поставили диагноз "оскольчатый перелом малой берцовой кости со смещением".
Врач руками вправил кости, затем сделали глубокую лангету от кончиков пальцев до нижней части бедра (~ 10 см. выше колена), в которой нога была зафиксирована обычным бинтом. Затем повторно сделали рентген.
В результате мне выдали справку о произошедшем и отправили домой, постановив наблюдаться у травматолога по месту жительства.
21.03 приехал вызванный на дом терапевт от страховой компании для выписки мне больничного.
Он НЕ травматолог, но сказал, что можно снимать бинт и осторожно обтирать открытую часть ноги влажной губкой.
На 31.03 назначил явиться к травматологу по месту жительства.
Сегодня, 28.03 наконец-то последовал его совету, поскольку нога нестерпимо чесалась под бинтом и снял повязку, из лангеты при этом ногу не доставал, положение ее в лангете также не менял.
С 19.03 по 2-3 раза в день принимаю Кальций Д3 и первые несколько дней на ночь принимал обесболивающее, поскольку иначе уснуть было невозможно.

Интересуют несколько вопросов:
1) можно ли зафиксировать ногу в лангете при помощи эластичного бинта вместо обычного? насколько туго при этом следует его накладывать?

2) можно ли вообще снимать бинтовую повязку? и может быть имеет смысл ежедневно на некоторое время ее убирать и просто, не меняя положения ноги, давать восстановиться кровоснобжению в поврежденной голени?

3) ничего страшного нет в том, что при подобном (оскольчатом со смещением) повреждении кости просто вправили руками? просто никогда с этим не сталкивался, а чуть позже начитался, что при переломах голени используют какие-то механизмы для растяжения-сжатия, часто проводят операционное вмешательство для регулирования положения осколков и пр.

4) что бы Вы посоветовали мне для обеспечения скорейшего восстановления? вроде бы первоначально конечности необходим покой, но, с другой стороны, ведь надо ее и разрабатывать, дабы не дать мышцам отрофироваться? с какого момента можно начинать это делать и как? ведь большая часть ноги зафиксирована в лангете.

5) к сожалению, снимка перелома мне с собой не дали из Склифосовского, и поэтому сложно говорить, но сколько обычно требуется на лечение подобного рода травм? через какое время я смогу передвигаться самостоятельно без костылей?

Заранее спасибо!

С уважением,
Антон
 
Вероятно вам рекомендован срок гипсовой лонгеты 4 недели, но это зависит от уровня перелома. Где вверху, в середине, лучше всего снимки взять, или точное описание. Еще лучше через 2 недели отправиться в поликлинику и сделать контрольный снимок. Пока занимайтесь изометрической гимнастикой, лонгету для помыть ногу можно снимать, не сгибая в суставах.
 
Здравствуйте!
У меня Мама сломала лодыжку(58 л.).
6 марта наложили гипс. 30 марта сняли гипс.
Врач-травматолог толком не объяснил, что нам дальше делать. Посоветовал только эластичный бинт и мазь Феброфид 2-3 раза в день.
какой период полного восстановление будет в данной ситуации? и как максимально ускорить процесс реабилитации?
 
Назад
Сверху